
「歯並びが悪い」「話しにくい」「口を開けて笑えない」など、歯並びにコンプレックスを抱えている方は非常にたくさんいらっしゃると思いますが、いざ矯正治療をおこなうとなると、治療にかかる費用や時間、治療時の痛み、ブラッシングをはじめとするケアの煩わしさなど、負担を考えると躊躇してしまう方もまた多いそうです。
しかし、矯正治療には時間や費用や手間をかけて取り組むだけの大きな価値があると当院は考えます。
ますだ歯科医院ではこうした患者さんの負担をできるだけ軽減し、ご満足いただける矯正治療を目指しています。
美しい歯並びは人生をより豊かにしてくれます。
歯並びにお悩みの方は、あきらめずに一度当院へご相談ください。

ハンバーガーにかぶりつくとレタスだけ残ったり、パスタが咬み切れずに飲み込んだりしていませんか?矯正治療によって見た目だけではなく、前歯で咬み切って奥歯でよく噛むという咬合、咀嚼機能の回復が期待できます。

人はマスクをして顔の下半分が見えない時、上半分から想像した理想的な顔立ちを思い浮かべます。歯並びを整え、かみ合わせを合わせることで、個人差はありますが顔のバランスも整うことがあります。

一方にズレて噛むことで顔の形に影響したり、右ばっかりで物を噛むことで右のエラが張るように筋肉が付いてしまうこともあります。矯正によって、左右的、上下的、前後的なバランスを整えることができます。

矯正によって、20分の歯磨きが10分で出来るようになった方もいます。歯並びはハミガキのしにくさは勿論、唾液による自己清掃機能をも邪魔してしまい、虫歯や口臭の原因にもなります。
歯には、力を加えられると動くという性質があります。
それを利用して、矯正装置で歯にある一定の力を加えて人工的に正しい位置まで動かし、悪い歯並びや悪いかみ合わせを治す治療を矯正治療といいます。
矯正治療というと、昔は矯正装置が目立ってイヤだと思う人が多かったですが、今では目立たない装置が導入され、大人になってから矯正をおこなう方も増えています。
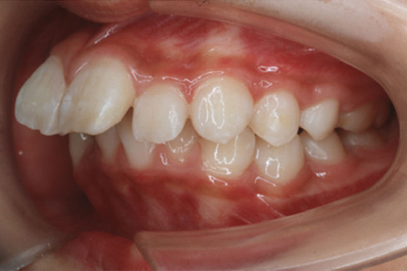
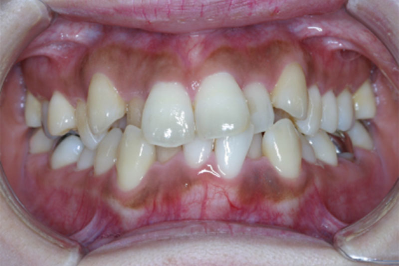
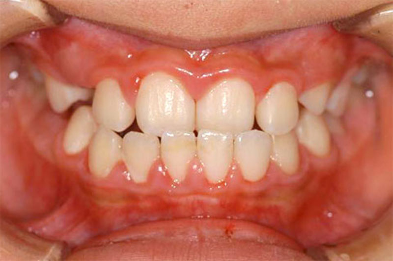
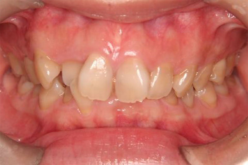
悪い歯並びは、人によってすべて違いますが、出っ歯、受け口、乱杭歯、八重歯などが一般的な症状です。
これらは、見た目が悪いだけでなく、かみ合わせが悪いため、健康上さまざまな影響が出てくる可能性があります。

上顎の発育が大き過ぎたり下顎の発育が小さすぎたりする時に生じます。
放置していてもほとんど治りません。身体の活発な成長発育出現前(小学生)からの治療で上下の顎骨の成長発育状態の調和を図れる場合があります。
成人期に近づくにつれ、気になる症状のひとつです。

歯のはえてくる顎の大きさとの調和がとれずはえてくるスペースが足りなければ歯は捻じれたり、重なり合ったりする歯並びを叢生(そうせい)といいます。
改善策は(1)奥の歯を後方に、(2)前歯を前方に移動、(3)歯列を横方向に拡大、(4)上顎の骨自体を横に拡大、(5)永久歯の抜歯などの方法があります。
窮屈な状態ではえてくる永久歯はその状態により、抜歯したり、抜歯しなかったりします。「全て歯を抜かないで治します」という主張がありますが常識的に考えてもそれは無理です。小学生時期の混合歯列期からの対応が望まれます。

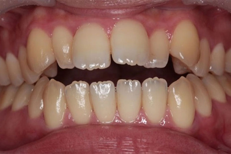
奥歯は咬み合いますが 前歯でソバなどが咬み切れない症状を開咬(かいこう)といいます。指しゃぶりや舌の突き出し、上下顎骨の垂直方向の発育や前後方向の不調和などにより生じます。
放置していてもほとんど治りません。症状が下顎前突と合併し悪化すると顎の骨切り手術を要するような難症状へ移行することもあります。
身体の活発な成長発育出現前(小学生)からの治療で上下の顎骨の成長発育状態の改善を図ることが望まれます。

前歯の傾きや下顎の発育が大きすぎたり上顎の発育が小さすぎたりする時に生じます。放置していてもほとんど治りません。症状が悪化すると顎の骨切り手術を要するような難症状へ移行することもあります。身体の活発な成長発育出現前(小学生)からの治療で上下の顎骨の成長発育状態の改善を図ることが望まれます。

噛むと、前歯が深くかみ込み、下の前歯がほとんど見えなくなる症状を過蓋咬合(かがいこうごう)といいます。
噛む際に歯と歯の接触により、歯のすり減りが激しかったり、症状が悪化すると顎の運動に支障が生じ、顎関節症になる場合もあります。
早期対応が望まれます。
歯並びが気になっている方やかみ合わせの不具合でお困り方、無料で矯正相談を行っています。治療期間、治療費、矯正装置の種類、矯正治療のメリット・デメリットなど矯正治療に関する疑問点、不安など懇切丁寧にご説明いたします。(30~60分)
治療前のお口の型取り、パノラマ(埋伏歯や後続永久歯を含めた歯全体のレントゲン)、セファロ(頭蓋骨や下顎骨と歯の関係を把握するためのレントゲン)撮影、口腔内・顔貌の写真撮影を行って治療方針を決定するための診断を行います。(60分)
検査結果をもとに診断を行い、抜歯の有無、使用する矯正装置、治療期間などを説明いたします。矯正装置作製のためのお口の型取りを行う場合もあります。また矯正治療開始前に抜歯や虫歯の治療が必要な場合は合わせて説明いたします。(30~60分)
矯正装置を装着して動的矯正治療を開始します。治療期間の目安は月1回の調整で2年間ですが、治療前の歯並びの状態や矯正装置の種類によって治療期間は前後いたします。矯正治療中の歯磨き指導や口腔清掃は随時行い、虫歯や歯周病のケアもしっかり行います。
目標の歯並び、かみ合わせを確立した時点で矯正装置を撤去します。しかしながら矯正治療はこれで終了ではありません。後戻り防止のための保定装置を装着して咬合が安定するまで定期的に観察していきます。(約2年)
矯正治療料金:500,000円~(調整料 月1回 5,000円)
使用する矯正装置によって費用が変わってきますのでご相談ください。
費用の総額は検査・診断、基本料、保定・メンテナンスを合計した金額になります。
Ⅰ期治療からの移行の際は、Ⅰ期治療費との差額分をお支払いいただきます。
上記の金額はすべて税抜価格となっております。
ご予約・お問い合わせ
092-260-9898
| 受付時間 | 月 | 火 | 水 | 木 | 金 | 土 | 日・祝 |
|---|---|---|---|---|---|---|---|
| 午前 9:00~13:00 | ○ | ○ | ○ | ○ | ○ | ○ | 休 |
| 午後14:00~19:00 | ○ | ○ | ○ | ○ | ○ | △ | 休 |
受付時間 午前 9:00~13:00 / 午後14:00~19:00
*土曜日の診療受付は17:00まで
【休診日】日曜日・祝日
交通アクセス
地下鉄中洲川端駅7番出口より徒歩3分、明治通り「博多座前」バス停下車徒歩3分
昭和通り「博多五町」バス停下車徒歩3分。
| 日 | 月 | 火 | 水 | 木 | 金 | 土 |
|---|---|---|---|---|---|---|
1 | 2 | 3 | 4 | 5 | 6 | 7 |
8 | 9 | 10 | 11 | 12 | 13 | 14 |
15 | 16 | 17 | 18 | 19 | 20 | 21 |
22 | 23 | 24 | 25 | 26 | 27 | 28 |
29 | 30 | 31 |
| 日 | 月 | 火 | 水 | 木 | 金 | 土 |
|---|---|---|---|---|---|---|
1 | 2 | 3 | 4 | |||
5 | 6 | 7 | 8 | 9 | 10 | 11 |
12 | 13 | 14 | 15 | 16 | 17 | 18 |
19 | 20 | 21 | 22 | 23 | 24 | 25 |
26 | 27 | 28 | 29 | 30 |
◯:矯正午前午後診療、△:矯正午前診療、▲:矯正午後診療